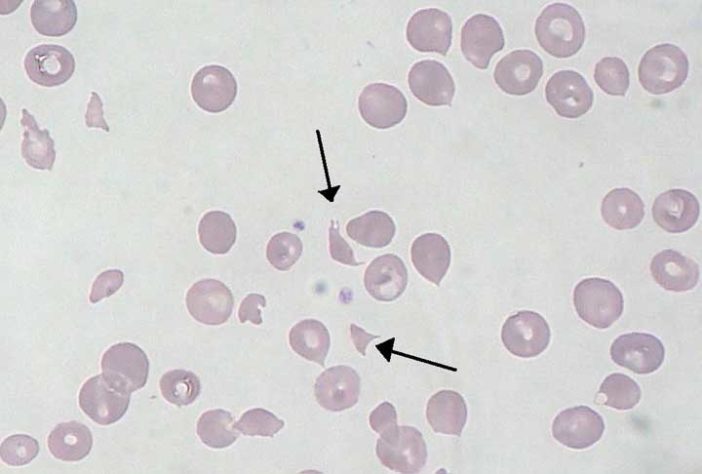
Doença rara deixa médicos intrigados e com dificuldades para diagnosticá-la
Doença rara deixa médicos intrigados e com dificuldades para diagnosticá-la
https://www.flipar.com.br/wp-content/uploads/2023/11/39-SHU.jpg
2024-01-13T12:44:11-03:00
2024-01-13T08:08:41-03:00
